口腔医学网认证医师
未填写执业地点 [导航]

方建辉

主治医师

用专业技术,守护您的自信笑容。

医生头像

这里是学历

执业证号:12345678

Memberships

优秀病例

已被口腔医学网收录于优秀病例合集
NO.001

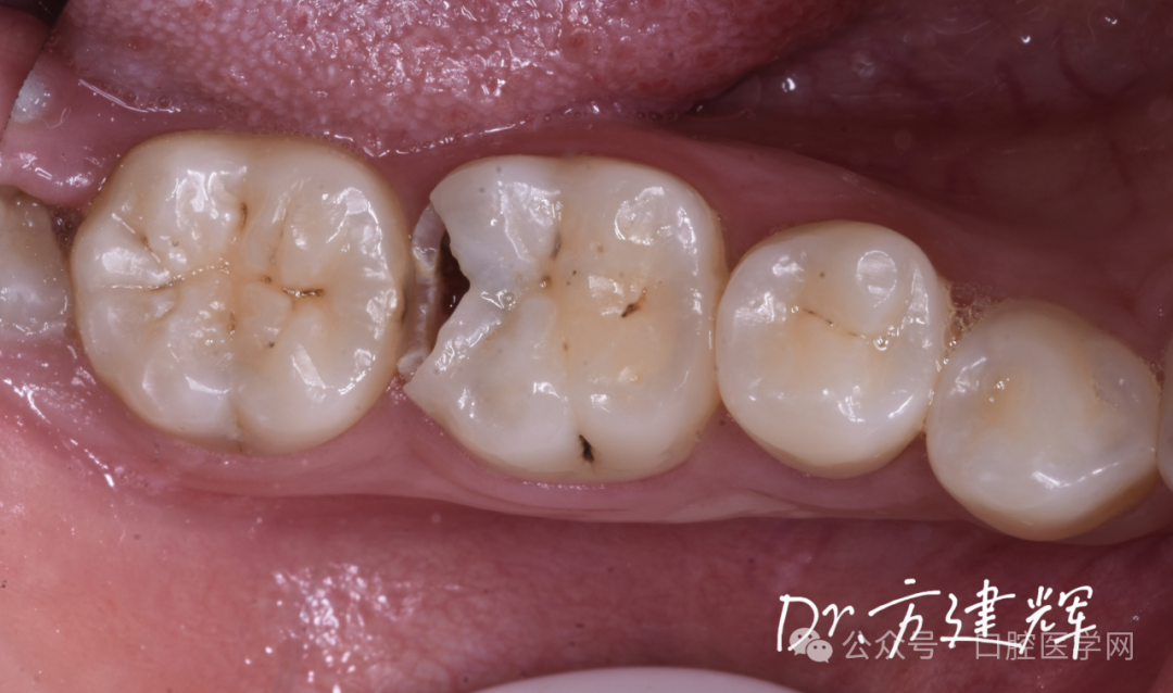
方建辉医生:后牙区II类洞树脂直接修复

8600+ 阅读

Authenticated By

口腔医学网

京ICP备13002125号-1
京公网安备 11010502034682号
增值电信业务经营许可证: 京B2-20223601
互联网药品信息服务资格证: (京)-经营性-2021-0048

已复制微信号